Herzlich Willkommen bei der Deutschen Gesellschaft für Zahn-, Mund- und Kieferheilkunde e. V.

Unsere Mission


Die Deutsche Gesellschaft für Zahn-, Mund- und Kieferheilkunde, gegründet 1859, ist eine der ältesten wissenschaftlichen Vereinigungen. Sie ist der Dachverband der wissenschaftlichen Gruppierungen der deutschen Zahn-, Mund- und Kieferheilkunde.

In dieser Funktion koordiniert sie die Beantwortung wissenschaftlicher Fragestellungen aus Politik und Gesellschaft und die Erarbeitung von Leitlinien für die zahnmedizinische Behandlung. Wissenschaftsförderung und Wissenstransfer gehören zu ihren Kernkompetenzen.

 
Pressemitteilung vom 13.07.2025

Neue S3-Leitlinie zur Kariesprävention an bleibenden Zähnen

Frankfurt/Düsseldorf, im 14. Juli 2025 - Die Deutsche Gesellschaft für Zahnerhaltung (DGZ) hat gemeinsam mit der Deutschen Gesellschaft für Zahn-, Mund- und Kieferheilkunde (DGZMK) erstmalig eine S3-Leitlinie zur Kariesprävention an bleibenden Zähnen veröffentlicht [1]. Die zentrale Botschaft: Wirksame Kariesprävention beruht nicht auf einzelnen Interventionen, sondern auf dem abgestimmten Zusammenspiel von sieben zentralen Präventionsmaßnahmen.

An der Entwicklung der Leitlinie waren 34 Expertinnen und Experten aus 19 Fachgesellschaften und Institutionen beteiligt. Erstmals wurden auch Patientenvertreter in die Konsensfindung eingebunden. Über 1.100 Publikationen wurden gescreent, mehr als 230 Studien gingen in die Evidenzbewertung ein. „Wirksame Kariesprävention ist ein Mosaik aus Maßnahmen", betont Professorin Dr. Nadine Schlüter von der Medizinische Hochschule Hannover (MHH), eine der Autor*innen der Leitlinie, „nur im Zusammenspiel entfalten sie ihre volle Wirkung. Deshalb müssen Präventionsstrategien ganzheitlich und lebenslang gedacht werden.“

Die Leitlinie richtet sich an Zahnärztinnen und Zahnärzte, zahnärztliches Fachpersonal und präventionsorientierte Fachkräfte sowie an Lehrkräfte, Erziehende und Patienten. Sie stellt Empfehlungen für alle Lebensphasen bereit – einschließlich älterer und pflegebedürftiger Menschen.
 

Die wichtigsten Ansätze der Kariesprävention im Überblick:

1. Mechanische Biofilmkontrolle
Zähne sollen zweimal täglich mit fluoridhaltiger Zahnpasta (≥1000 ppm) für mindestens zwei Minuten geputzt werden. Eine individuell angepasste Putzsystematik ist entscheidend – keine bestimmte Putztechnik ist nachweislich einer anderen überlegen. Elektrische Zahnbürsten können empfohlen werden, sofern ihre Anwendung erklärt wird. Für die Interdentalraumreinigung gelten Bürstchen meist als wirksamer als Zahnseide. Die frühere Empfehlung, nach säurehaltigen Mahlzeiten mit dem Putzen zu warten, ist nicht mehr haltbar.
 

2. Chemische Plaquekontrolle
Im Vergleich zur mechanischen Reinigung hat die chemische Biofilmkontrolle eine untergeordnete Bedeutung. Die Datenlage zur kariespräventiven Wirkung entsprechender Präparate ist insgesamt schwach. Nur in bestimmten Fällen – etwa bei festsitzenden kieferorthopädischen Apparaturen oder bei Wurzelkariesrisiko – kann der Einsatz von Chlorhexidinlacken (mit einer Konzentration ≥ 1 %) erwogen werden.
 

3. Strukturierte Prophylaxeprogramme
Erstmals betont die Leitlinie die Bedeutung lebenslanger strukturierter Präventionsprogramme. Neben Kindern und Jugendlichen sollen auch Erwachsene aller Altersgruppen regelmäßig motiviert und instruiert werden. Besonders wirksam sind Programme, die auf Verhalten, Aufklärung und regelmäßige Kontrolle setzen.


4. Fluorid – bewährter Schutz differenziert eingesetzt
Die neue Leitlinie differenziert den Einsatz von Fluoridpräparaten stärker nach Alter und Kariesrisiko als die Vorläufer-S2k-Leitlinie "Kariesprophylaxe" aus dem Jahr 2016:

  • Zahnpasta ab Durchbruch der bleibenden Zähne: mit 1000-1500 ppm Fluorid
  • Bei erhöhtem Wurzelkariesrisiko: Zahnpasta mit 5000 ppm Fluorid
  • Fluoridlack: zweimal jährlich, bei hohem Kariesrisiko viermal jährlich
  • Fluoridgele: wöchentlich zu Hause oder zwei- bis viermal jährlich professionell
  • Fluoridspüllösungen: ab sechs Jahren, besonders bei erhöhtem Risiko (z. B. festsitzende KFO-Apparaturen)


5. Ernährung – Zuckerreduktion im Fokus
Der Verzehr von zuckerhaltigen Produkten sollte reduziert werden. „Freie Zucker* sollten unter zehn Prozent der täglichen Energiezufuhr bleiben. Der Konsum gezuckerter Getränke und süßer Snacks – insbesondere nach dem Zähneputzen am Abend – soll konsequent vermieden werden. Insgesamt besteht zwischen dem Konsum gezuckerter Getränke und der Kariesentwicklung ein linearer Zusammenhang.
 

6. Speichel als Schutzfaktor nutzen
Speichel hat viele schützende Eigenschaften – er puffert kariesverursachende Säuren ab, reinigt die Mundhöhle und unterstützt die Remineralisation der Zähne. Das Kauen zuckerfreier Kaugummis nach den Mahlzeiten kann den Speichelfluss fördern und damit zur Kariesprävention beitragen.
 

7. Fissurenversiegelung gezielt einsetzen
Grübchen und Fissuren durchbrechender Molaren gelten als kariesanfällig. Fissuren- und Grübchenversiegelungen sind geeignete Maßnahmen zur Kariesprävention insbesondere bei Kindern und Jugendlichen mit einem tiefen Fissurenrelief und insgesamt hohem Kariesrisiko. Empfehlungen dazu enthält die ebenfalls aktuell erschienene S3-Leitlinie „Fissuren- und Grübchenversiegelung“ (AWMF 083-002) [2].

Die neue S3-Leitlinie zur Kariesprävention bei bleibenden Zähnen bietet praxisnahe, wissenschaftlich abgesicherte Empfehlungen für eine zielgerichtete, individuelle Kariesprävention über alle Lebensphasen hinweg. Sie stellt eine fundierte Grundlage für eine moderne, präventiv ausgerichtete Zahnmedizin dar – im Sinne einer langfristigen Zahngesundheit.

 

Quellen

[1] DGZ, DGZMK: „Kariesprävention bei bleibenden Zähnen – grundlegende Empfehlungen“, Langfassung, Version 2.0, 2025, AWMF-Registernummer: 083-021,  https://www.awmf.org/leitlinien/detail/ll/083-021.html, (Zugriff am: 10.07.2025)

 

[2] DGKiZ, DGZ, DGZMK: S3-Leitlinie „Fissuren- und Grübchenversiegelung“, Langfassung 2024, AWMF-Registernummer: 083-002,

 https://register.awmf.org/de/leitlinien/detail/083-002 (Zugriff am: 10.07.2025)

 

* Als freie Zucker gelten alle Zucker, die durch Hersteller oder Verbraucher Nahrungsmitteln zugesetzt werden, sowie die Zucker, die natürlich in Honig, Fruchtsäften, Sirup etc. vorhanden sind. [1, S. 27]
 

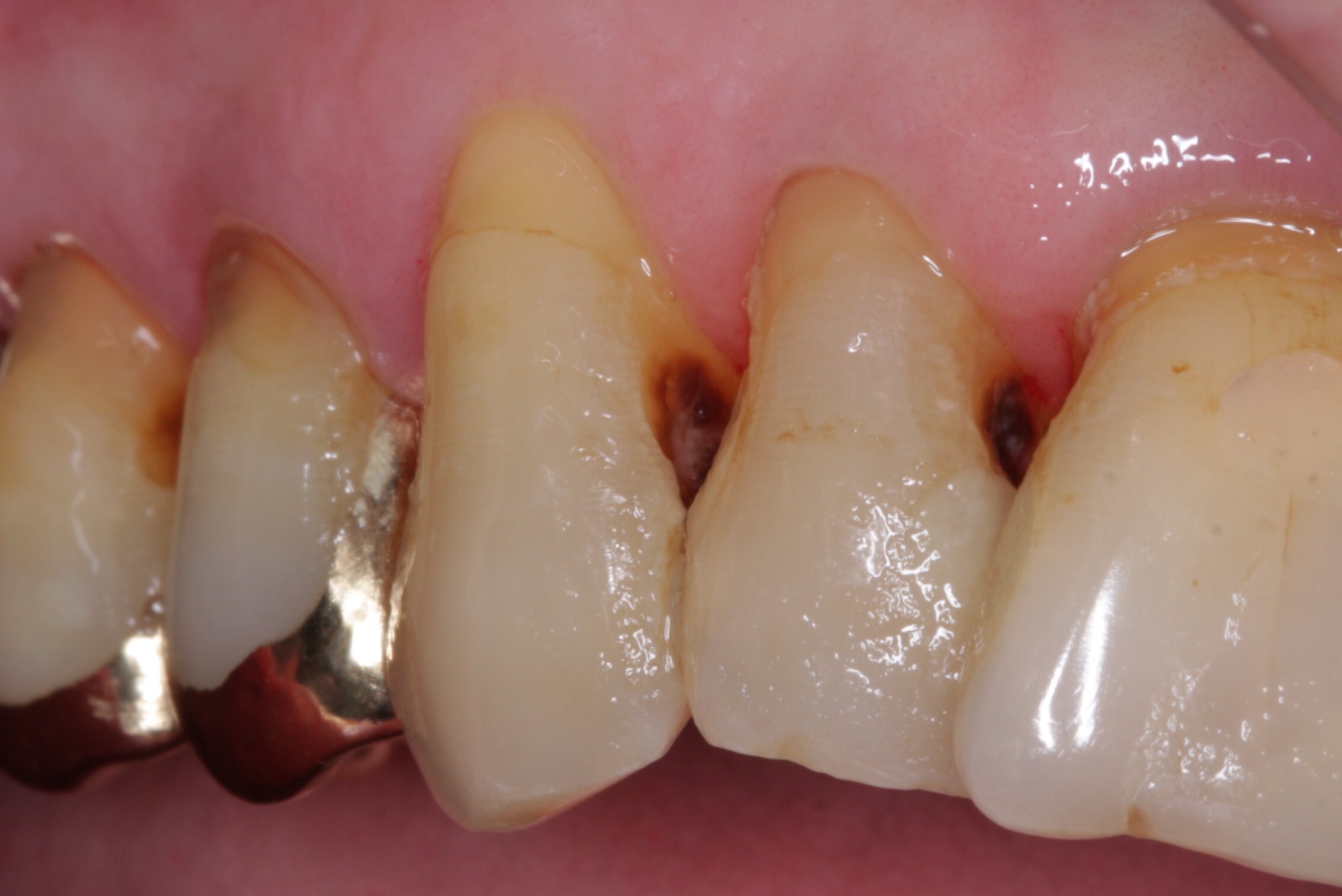
Pressebild

BU-Vorschlag: Immer mehr Menschen werden älter und behalten ihre eigenen Zähne – das erhöht das Risiko für Wurzelkaries. Die neue S3-Leitlinie enthält gezielte Empfehlungen zur Vorbeugung.

Foto: © Sebastian Paris

 

 Pressemitteilung zum Herunterladen im .pdf-Format
 

 Pressemitteilung zum Herunterladen im .docx-Format

 

Bei Abdruck Beleg erbeten

Über die Deutsche Gesellschaft für Zahnerhaltung

„Wir erhalten Ihre Zähne“ - dieses Motto steht für die Deutsche Gesellschaft für Zahnerhaltung (DGZ) mit aktuell rund 3.000 Mitgliedern. Die Erhaltung der natürlichen Zahnstrukturen in ihrer Gesamtheit ist ihr primäres Anliegen. Von der Prävention oraler Erkrankungen über minimalinvasive restaurative Verfahren bis hin zu komplexen Rekonstruktionen und zur endodontologischen Praxis deckt die DGZ alle Facetten moderner Zahnerhaltung ab. Als zahnärztliche Fachgesellschaft versteht sich die DGZ als Vermittler zwischen Wissenschaft und Praxis. Sie veranstaltet Kongresse und Fortbildungen und ist beteiligt an Leitlinien und wissenschaftlichen Mitteilungen. Die DGZ steht im Verbund mit der Deutschen Gesellschaft für Präventivzahnmedizin (DGPZM), der Deutschen Gesellschaft für Restaurative und Regenerative Zahnerhaltung (DGR²Z) und der Deutschen Gesellschaft für Endodontologie und zahnärztliche Traumatologie mit dem gemeinsamen Ziel, Zahnerhaltung in Wissenschaft und Praxis zu fördern.


Über die Deutsche Gesellschaft für Zahn-, Mund- und Kieferheilkunde (DGZMK)

Die Deutsche Gesellschaft für Zahn-, Mund- und Kieferheilkunde (DGZMK) wurde im Jahr 1859 gegründet und zählt damit zu den ältesten medizinischen Vereinigungen in Deutschland. Heute versammeln sich unter dem Dach der DGZMK insgesamt 43 wissenschaftliche Fachgesellschaften, Arbeitskreise und Arbeitsgemeinschaften sowie weitere zahnmedizinisch-wissenschaftliche Vereinigungen.

Die DGZMK bildet somit das Sprachrohr der zahnmedizinischen Wissenschaft gegenüber Politik, Öffentlichkeit und anderen Interessenvertretungen. Sie liefert die Grundlagen für die Sicherstellung der Qualität zahnärztlicher Maßnahmen, zum Beispiel durch die Herausgabe von Leitlinien.

 

Kontakt

Deutsche Gesellschaft für
Zahn-, Mund- und Kieferheilkunde e.V.
(DGZMK)

Pressekontakt: Dr. med. dent. Kerstin Albrecht

Liesegangstr. 17a
40211 Düsseldorf

Telefon: 0211 610198-15
presse@dgzmk.de

 www.dgzmk.de

Zu den satzungsgemäßen Aufgaben der DGZMK gehört der Wissenstransfer von der Wissenschaft in die zahnmedizinische Praxis. Dies gelingt unter anderem durch das Angebot kontinuierlicher Fortbildungen der zur DGZMK gehörenden Akademie Praxis und Wissenschaft (APW), die im Jahr 1974 gegründet wurde.

 

Kontakt

Deutsche Gesellschaft für
Zahnerhaltung e.V.
(DGZ)

Geschäftsstelle

Kolberger Weg 14
65931 Frankfurt am Main
Telefon: 069 300 60 473

info@dgz-online.de

www.dgz-online.de

 

Downloads:
Kompaktempfehlungen​​​​​​​
​​​​​​​Wissenschaftliche Leitlinien​​​​​​​​​​​​​​​​​​
Wissenschaftliche Mitteilungen​​​​​​​​​​​​​​

Kontakt

Liesegangstr. 17 a
40211 Düsseldorf

Telefon: 0211 610198-0